
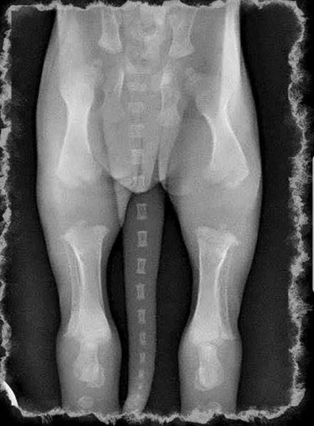
Everyone’s always eager to play with a new puppy, take them for walks, hikes, run with them and, well….let them be puppies! But it’s easy for a puppy to overdue it and cause some damage to their bodies. The pet parent needs to learn the importance of limiting exercise while they’re puppies to give their bone structures and bodies time to grow properly.
Here are some great links for more information on this topic
DogWorks Fitness
The #1 and #2 common injuries to puppies
Fenzi Dog Sports
Puppies and Exercise
Riverstead Bernese
xray pictures